Paul Ratner

Paul Ratner

Contributing Writer

Paul is a writer, filmmaker, and educator. He has written for years for Big Think and other outlets on transformative scientific research, history, and current events. His award-winning films like the true-life adventure "Moses on the Mesa" and the science documentary "The Caveman of Atomic City" have played at film festivals around the world. Paul also organizes numerous unique educational events, renowned film festivals, and competitions for thousands of people. He has degrees from Cornell University (BA) and Chapman University (MFA). You can follow Paul's work at paulratnerimagines.com, on Instagram, and Facebook.

Jon Stewart shares his thoughts on many issues during a recent talk with the New York Times.
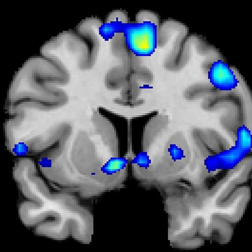
Researchers scan the brains of people having strong spiritual experiences.
As president, Donald Trump is uniquely positioned to bring America back to the Moon.
A federal district court blocks new overtime pay rules, setting up a protracted legal battle.
A theoretical physicist proposes a new way to think about gravity and dark matter.
A new site offers a way to delete most of your Internet accounts in one go.
A recent study sheds light on why we get "food coma" and what foods to avoid.
A study of close to 20,000 men provides some stark conclusions on the relationship between male sexism and mental health. 
New research shows how studying music helps the brain create new connections.
These are some of the strangest human inventions.
Looking for new ways to teach the intellectual capital of humanity to its students, Glasgow University is offering a philosophy course based on the character of Homer Simpson.
Stephen Hawking considers the future of humanity in a talk at Oxford University.
Much news on the Internet is very similar to the dangerous "yellow journalism" of history.
Under President Trump, the state-level requirements mandating credit from utility companies for excess power sent back to the grid should survive.
A study by University of Toronto psychologists reveals how to have a happy sex life in a long-term relationship.
When he becomes President in January, Donald Trump will likely have another lawsuit on his hands. This time, from a group of 21 American children.
The history and reasoning behind the much-maligned Electoral College.
Through a series of election-related email dumps, WikiLeaks played a major role in the U.S. elections.
A long-lost interview with the BBC host Ruby Wax shows Donald Trump appear to intimidate her.