Stephen Johnson

Stephen Johnson

Executive Editor, Big Think

A man with short dark hair wearing a dark button-up shirt poses against a plain black background.

Stephen Johnson is Executive Editor at Big Think. His writing has appeared in PBS, U.S. News & World Report, and newspapers and magazines across the Midwest. He lives in St. Louis.

Samsung is planning to unveil a new type of bendable, foldable smartphone that could sell for more than $1,500, according to the Wall Street Journal.
A Toronto-based startup that sells customizable temporary tattoos has received $10 million in Series A funding from venture capitalists, the company’s chief executive officer announced Tuesday.
The Department of Justice has reached a settlement with Defense Distributed in a landmark decision that will enable the controversial organization to publish CAD files of firearms on its DEFCAD website.
As a result of warming seas, at least 10 types of sharks currently found in warmer areas will likely be found in British waters in coming decades.
A Chicago lawmaker says UBI is not only a way to ensure people still get paid as automation displaces their jobs, but that it’s also a safeguard against the inevitable sociopolitical strife that would follow.
Restaurants are increasingly less likely to accept paper currency, a trend that likely protects businesses from theft but also makes it harder for low-income people to shop.
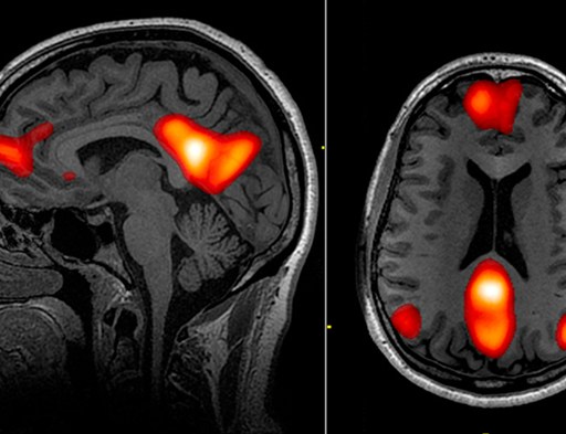
A growing body of research suggests that healthy sleep habits might be effective in preventing the onset of Alzheimer's disease.
A new medical imaging device uses technology developed by particle physicists to produce full-color, 3D images of the human body.
A team of international scientists has pinpointed the cosmic source of a ghostly subatomic particle called a neutrino, marking the beginning of a new era in astronomy.
Forbes recently claimed Kylie Jenner is “set to be the youngest-ever self-made billionaire.” But some questioned whether “self-made” is an accurate description of her fortune.
“Please consider this a commitment that I will fund fixing the water in any house in Flint that has water contamination,” Musk tweeted.
In the 2018 World Cup, England's team was aided by an unconventional team member: a psychologist who equipped players with tools to navigate the mental and emotional sides of the game.
A new study published in the Astrophysical Journal Letters provides even more reason to think Ross 128 b, the second closest exoplanet to Earth, could harbor life.
A new study on virtual embodiment explores the “surprising plasticity of the brain’s body representation,” and suggests that virtual reality representations can improve cognition.
The 12 boys and their soccer coach who were trapped in a flooded cave in Thailand have all finally been rescued, ending an 18-day ordeal that gripped local and international onlookers.
President Donald Trump on Monday nominated 53-year-old Judge Brett M. Kavanaugh to replace Justice Anthony M. Kennedy’s seat on the Supreme Court, a pick that could establish a solid conservative majority in the court for years to come.
The Lawrence Livermore National Laboratory has been working for years to preserve the estimated 10,000 videos of nuclear bomb tests made by the U.S. government during the Cold War.
Tech inventor Elon Musk has developed a “tiny, kid-size submarine” that could help rescue the four boys and their soccer coach who remain trapped in a flooded cave in Thailand.
Psychopathy is a “wildly misunderstood corner of mental health research,” according to the author of a new study on psychopathy and attention mechanisms in the brain.
Tech titan Elon Musk is sending engineers from two of his companies to help the Thai government rescue 12 boys and their soccer coach who’ve been trapped in a cave for nearly two weeks.