Religion and science don’t often mix. But in the case of religious experiences — bright lights, booming voices, visions of God, angels, devils or other religious figures — scientists found a surprising overlap in a recent case study.
Researchers from Hadassah University Hospital in Jerusalem examined a 45-year-old male epilepsy patient back in May 2016. The patient has temporal lobe epilepsy, a type of epilepsy with seizures involving intense “feelings, emotions, thoughts, and experiences” and even “hallucinations of voices, music, people, smells, or tastes” according to the Epilepsy Foundation. The episodes had afflicted the patient since he was seven and relapsed at 23. He came to the hospital seeking relief and stopped taking his medication for the tests.
The doctors put him into an electroencephalogram (EEG) scanner to observe his brain patterns. As they were watching, he saw God. Doctors Shahar Arzy and Roey Schurr wrote what happened next in the neurological journal Epilepsy and Behavior:
While lying in bed, the patient abruptly ‘froze’ and stared at the ceiling for several minutes, stating later that he felt that God was approaching him. He then started chanting prayers quietly, looked for his Kippa and put it on his head, chanting the prayers more excessively. Then, abruptly, he yelled ‘And you are Adonai (name of the Hebrew God) the Lord!’ stating later that God had revealed to him, ordering him to bring redemption to the people of Israel.
After that, the patient ripped the EEG electrodes off and ran through hospital, telling whoever he found “God has sent me to you.” He didn’t have a specific plan for accomplishing his newfound mission, but he was “sure that God is going to instruct him what he and his followers should do on their way to redemption.”
The patient was not a religious man. He was a factory worker with “low-level” education who practiced religious rituals regularly, “as is common in his surrounding society, without any special religious involvement, deep religious feelings, or scholarly interest,” the study reports. The researchers gave him an anti-psychotic medication and the episode ended a few hours later.
The episode was surprising, but had scientific precedent. Religious experiences like the one this patient had have long been documented in epilepsy patients, but the exact location underlying the neural mechanisms causing them are unclear. But this patient’s experience gave them clues.
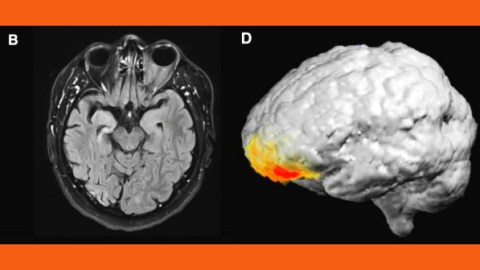
The researchers diagnosed the patient’s episode as “grandiose religious delusion of revelation and missionary zeal in the context of postictal psychosis (PIP).” They found an increase in activity in the low-gamma band (30–40 Hz) brain waves in the left prefrontal cortex of the patient’s brain, concluding “this suggests that religious conversion in PIP is related to control mechanisms in the prefrontal lobe-related processes rather than medial temporal lobe-related processes.” The same part of his brain that experienced epileptic seizures lit up, as seen here:
This is only an example of how one man’s brain reacted to God. But it is interesting to see how closely that kind of religious experience is to an epileptic seizure. Here’s an anonymous patient testimony from the Epilepsy Foundation’s site:
I get the strangest feeling—most of it can’t be put into words. The whole world suddenly seems more real at first. It’s as though everything becomes crystal clear. Then I feel as if I’m here but not here, kind of like being in a dream. It’s as if I’ve lived through this exact moment many times before. I hear what people say, but they don’t make sense. I know not to talk during the episode, since I just say foolish things. Sometimes I think I’m talking but later people tell me that I didn’t say anything. The whole thing lasts a minute or two.
Furthermore, here’s a neuroscientist Andrew Newberg describing the link between epilepsy and religious experience: